События На Днепропетровщине в поле нашли одинокую могилу женщины, прожившей 105 лет (ФОТО)
Ср 22.04.2026, 17:24
Криминал В Каменском мужчина избил подростка и украл телефон
Ср 22.04.2026, 12:42
Криминал Мобилизированный бездомный пошел в СЗЧ, чтобы выпить с любимой в Кривом Роге, но приревновал и убил ее
Ср 22.04.2026, 12:18

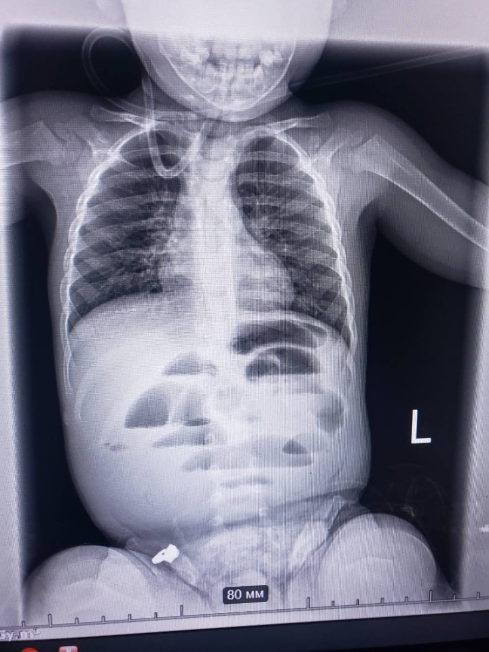
В одну из больниц Днепра обратились родители ребенка, которому всего 1 год и 8 месяцев с жалобой на кишечную непроходимость, передает "Відомо" с ссылкой на Региональный медицинский центр семейного здоровья.
Медицинские работники на рентгенограмме органов брюшной полости ребенка выявили признаки кишечной непроходимости и в составе мультидисциплинарной команды врачей приняли решение провести срочную операцию.
Когда ребенка доставили в операционную — провели оперативное вмешательство и обнаружили постороннее тело, полностью перекрывшее просвет кишечника.
Предметом стал гидрогелевой шарик, который в организме ребенка увеличился в размере вплоть до 3 см.
Гидрогелевый шарик изъяли, ребенку наложили швы и перевели в отделение интенсивной терапии. Сейчас жизни малыша ничего не угрожает.
Отметим, что несмотря на то, что гидрогелевые шарики не токсичны — они, все равно, представляют угрозу для ваших малышей при глотании, ведь значительно увеличиваются в диаметре.
Будьте внимательны и внимательно следите за своими детьми.


"Відомо" в GoogleNews
Узнавай новости Днепра первым
Подписаться
Война
В течение дня 22 апреля россияне почти 40 раз атаковали Днепропетровщину (ФОТО)
Ср 22.04.2026, 18:37
Криминал Наркосиндикат под прикрытием "кафешопов" U420: Днепр был одним из центров мощной сети "Химпром" (ФОТО)
Ср 22.04.2026, 13:59
Жизнь города Элитная недвижимость на итальянском озере: в открытых реестрах нашли имущество на имя Екатерины Филатовой
Ср 22.04.2026, 10:00
Война Ночью 22 апреля враг атаковал два района Днепропетровщины
Ср 22.04.2026, 07:41
Война Утро 22 апреля в Днепре началось с вражеской атаки: в городе произошло несколько пожаров
Ср 22.04.2026, 06:55
Интервью История под ударом: враг разрушил еще четыре аутентичных здания в Днепре (ФОТО)
Сб 18.04.2026, 17:10
Актуально Цена последнего уважения: почему погребение воинов превращается в испытания для живых
Вт 14.04.2026, 10:57
Интервью Не фотозона, а месседж: в Днепре появился мурал со смыслом Пасхи (ФОТО)
Вс 12.04.2026, 10:00
Актуально Мусор на миллионы: в Днепре снова ищут уборщика, пока город утопает в отходах (ФОТО)
Чт 09.04.2026, 15:26
Актуально Женские купе по-украински: как они выглядят и почему пользуются спросом (ФОТО, ВИДЕО)
Ср 08.04.2026, 15:02
Актуально От бюджетных до luxury: насколько подорожали паски в Днепре в 2026 году (ФОТО, ВИДЕО)
Пт 03.04.2026, 20:05
Актуально Девочку избили – другие смотрели: как распознать буллинг и остановить его вовремя
Пт 03.04.2026, 16:04
Владимир Фесенко
Украинский политолог
Болгарское дежавю: Почему выборы в Софии – это зеркало для украинских политических иллюзий
Виктор Шлинчак
Председатель правления Института мировой политики
Между правом на защиту и монополией на силу: почему легализация оружия не панацея от расстрелов
Виталий Портников
Украинский журналист, публицист, писатель, телеведущий
Эффект Зеленского по-венгерски: как Петер Мадяр стал зеркалом раннего Орбана
Николай Лукашук
Глава Днепропетровского областного совета
Демографическая пустыня или безопасная гавань: почему без "закрытого неба" украинцы не вернутся домой
Вадим Денисенко
Политолог, медиаменеджер
Китай вводит изучение ИИ с первого класса. Мы должны сделать то же самое уже завтра
Виктор Ягун
Генерал-майор запаса СБУ, бывший заместитель председателя СБУ, общественный деятель
Война систем: почему на пятом году полномасштабного противостояния победа зависит не от территорий, а от выносливости
Захарченко Владимир Васильевич
Народный депутат Верховной Рады IX созыва (Слуга народа)
Поплавский Михаил Михайлович
Экспрезидент Киевского университета культуры и искусств, народный депутат Верховной Рады Украины IV, VII и VIII созывов
Чиркова Елена Васильевна
Депутат Днепропетровского областного совета VIII созыва, член комиссии по вопросам социально-экономического развития, бюджета и финансов
Дубинский Александр Анатольевич
Народный депутат Украины 9-го созыва от партии "Слуга народа", журналист, блогер